Лечения кариеса в зависимости от глубины поражения:
-
- Кариес в стадии белого/темного пятна (рис.1) –
в этом случае дефекта на поверхности эмали еще нет, но присутствуют пятна белого (иногда темного) цвета, которые говорят о том, что эмаль зуба потеряла много кальция в этих участках. Такая форма кариеса лечится не пломбированием, а путем реминерализации – насыщением эмали кальцием и фтором

- Поверхностная форма кариеса –
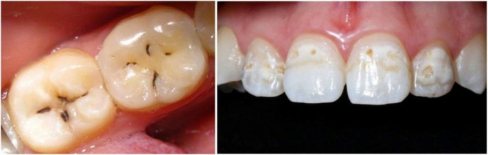
в этом случае появляется кариозный дефект в пределах эмалевого слоя. Такая форма кариеса лечится уже традиционным пломбированием. - Средняя форма кариеса (рис.2) –
в этом случае кариес распространяется за пределы эмали и поражает верхние слои дентина. В этой статье речь пойдет о лечении именно такой формы кариеса, как наиболее часто встречающейся.
- Глубокая форма кариеса (рис.3) –
в этом случае кариес распространяется на глубокие слои дентина, а пульпу зуба отделяет от кариозных тканей только узкая полоска здорового дентина. Глубокая форма кариеса лечится по особому. В этом случае применяется биологический метод
- Кариес в стадии белого/темного пятна (рис.1) –